Dental Composite Bonding
Modern Dentistry for your comfort …
At Dentael, we offer Modern Minimally Invasive Dentistry for your comfort, including Dental Composite Bonding. Dental Composite Bonding is a technique used in modern dentistry to repair teeth and improve smiles with the aim to avoid drilling and cutting teeth. We provide a range of restorative dental treatments to repair damaged teeth or improve the appearance. So whether you’ve chipped your tooth and want to fix it, or want to improve the appearance of your smile, we’re here to help. Book your appointment with our experienced dentist.
Dental Treatments available …
- Dental Composite Bonding
- Adhesive Dentistry
- Vital Pulp Therapy
- Root Canal Treatment
- Crowns and Onlays
- Veneers
- Fissure sealants
- Prevention

“ Great customer service and professional. I would recommend it because the dentist goes the extra mile and gives options and advice in relation to your concern. ”
Is your tooth damaged ?
Teeth that are decayed, broken or worn may have signs and symptoms but not always. Many people are unaware that they have a damaged tooth until it’s too late to repair it and so the tooth is extracted. However many teeth can often be repaired to avoid losing them, so book your appointment with our experienced dentist and find out how we can help.
What are the signs of a damaged tooth ?
Teeth can be damaged due to tooth decay, tooth wear or injury. If you have the following signs or symptoms, get it checked out.
- Sensitivity to hot, cold or sweet
- Toothache
- Discoloured tooth
- Cavity or broken tooth
- Unpleasant taste or bad breath
- Front teeth edge chipped
- Front teeth edges appear translucent
- Pits and holes in teeth
What are the benefits of Dental Composite Bonding?
- Natural colour appearance
- Avoid drilling and cutting teeth.
- Helps support and strengthen the remaining tooth.
- Cost less than Crowns and Veneers
- Treatment usually completed in one appointment.
- Affordable – Price around £250 compared to Crown price around £700



Improving Smiles with Adhesive Dentistry …
If you have unsightly gaps between your teeth, or a tooth that looks smaller than the other teeth, Dental Composite Bonding is often a better solution than cutting your teeth up for Veneers. It’s always best to avoid drilling and cutting teeth as this can lead to nerve damage.
Dental Composite Bonding is a great alternative with same day results. So you’re walking out with your new smile at a lot lower cost.
If you’d like whiter teeth, consider Teeth Whitening prior to Dental Composite Bonding. Book you appointment with our experienced dentist to discuss how we can help you with your smile.
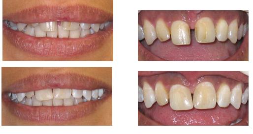
Before and after Photos of Dental Composite Bonding

Vital Pulp Therapy and Root Canal Treatment …
Vital Pulp Therapy is a modern technique to avoid the costly and complex dental procedure of Root Canal Treatment. Vital Pulp Therapy takes less time and costs a lot less than Root Canal Treatment.
Root Canal Treatment is an intricate procedure and although with latest techniques, success rates are high, like any procedure involving biological tissue, it may not be successful. Most teeth that are root treated are recommended an onlay or crown to help reduce the risk of the tooth fracturing. If the tooth is very broken down, sometimes a post may need to be placed in the root, following the root filling, in order to help build up the tooth, prior to placing the crown.
Crowns & Veneers …
Sometimes a crown is unavoidable, and the tooth will have to be cut and shaped. A variety of crowns are available including ceramic tooth coloured crowns. Veneers may also be more suitable in some situations if composite dental bonding is not an option.
“ Excellent experience. Explained everything clearly and were very attentive. Felt comfortable and confident in the treatment I was receiving. ”
“ Fantastic experience, ensuring a quality job has been undertaken whilst also always making sure my comfort.
Excellent job ! ”
Our friendly dentist has years of professional experience. She’s a long-standing member of the Royal College of Surgeons of England, and the British Dental Association,
Our modern dental clinic is conveniently located for residents, workers and students in the West London and Middlesex areas of Ealing, Greenford, Perivale, Hanwell, Northolt, Acton, Harrow, Wembley, Southall, Ruislip, Chiswick, Hounslow, Hillingdon, and beyond.
So whether you have a chipped or broken tooth. Maybe you have gaps in between your teeth or worn tooth edges. Whatever your dental concerns, dental composite bonding may be the solution. We’re here to help so book your appointment and let us help you. Experience modern dentistry in a calm, friendly atmosphere.