Professional Teeth Whitening in Ealing
Professional Teeth Whitening for a whiter smile …
At Dentael, we provide affordable Professional Teeth Whitening to lighten the colour of your teeth. This enhances your natural smile, without drilling your teeth. A whiter smile gives that extra confidence and boosts self-esteem.
Our Professional Teeth Whitening is provided by our experienced dentist. This ensures the safety of enamel and gums, unlike over the counter whitening kits or strips. Results are seen within days and can last for years. Therefore, by choosing Philips Zoom Professional Teeth Whitening by our dentist, you can be assured of powerful yet safe results. Book your appointment.
Why choose Teeth Whitening with Us …
- Experienced Dentist
- Safe procedure
- Affordable price
- Effective results
- Maintenance advice

“ Very impressed. Everything explained and carried out with care & making me very comfortable. ”

Why Consider Teeth Whitening?
We greet the world with a smile. A healthy, whiter smile can help boost self-confidence when we meet and talk to people. Teeth whitening can also help reduce visible white or brown spots within teeth. It also avoids the discomfort and cost of more complicated cosmetic procedures, such as composites or veneers. Often these procedures involve drilling teeth.
What is the Teeth Whitening Process?
- Our dentist will assess your mouth so we can advise if teeth whitening is suitable for you. We will discuss the different options.
- Philips Zoom NiteWhite professional take-home tray system, under the supervision of a dentist, is the preferred system. It has many advantages, including more stable long-term results.
- We take impressions of your teeth and make custom mouth trays.
- The custom mouth trays are fitted, ensuring they are comfortable. You are provided with the whitening gel with instructions and shown how to use it. You will leave the clinic with all you need to start achieving a whiter smile.
- Visible results are usually seen within a few days.
- You are reviewed by our dentist 2 to 3 weeks after the start of treatment.
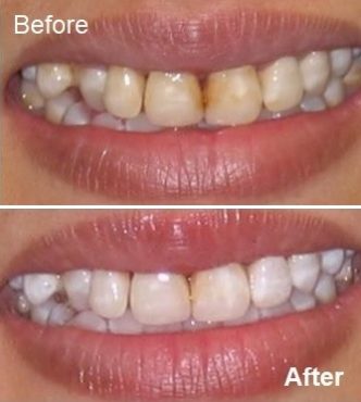
Teeth Whitening Images Before and After



What to Do Before Teeth Whitening?
Have your teeth professionally cleaned. Tartar and stains removed before teeth whitening will give the best results to achieve a whiter smile. Book your dental hygiene appointment.
“ Excellent service and very informative, helpful staff. ”
How Long Does Whitening Teeth Take?
In the majority of patients, teeth appear whiter within a few days. Optimum results are usually achieved within 2 weeks.
How Long do Teeth Whitening Results Last?
With good maintenance, results can last for years. On average, teeth will begin to fade back towards their original colour slowly after a few years. However, a simple top-up procedure can help to maintain the initial results. Usually, application of whitening gel for 1 or 2 days is sufficient. Whitening gel syringes are purchased from the clinic. Good homecare allows results to be maintained for longer. Avoid smoking and reduce the consumption of certain foods and drinks. Limit the intake of red wine, turmeric, coffee, and tea. Regular dental hygiene professional cleanings will help avoid stain build up and maintain your white smile.
How Does Professional Teeth Whitening Work?
The whitening gel penetrates the porous enamel layer of teeth. Internal stain molecules break down through oxidation. This results in a whiter tooth colour.
Teeth Whitening for Sensitive Teeth: Is it Safe?
Yes, professional teeth whitening is a safe procedure when provided by our dentist. Patients who have sensitive teeth prior to treatment may experience some sensitivity during the process, but this can be managed with specific toothpastes and simple steps we recommend beforehand.
Philips Zoom NiteWhite also contains ingredients designed to reduce sensitivity and help protect the enamel. Your initial consultation and examination allow us to assess whether you are a suitable candidate for whitening.
If you would like to understand more about the process, you can explore our teeth whitening in Harrow treatment and what to expect from professional care.
“ Excellent service, informative with no pushy sales pitch. Felt very relaxed and I am very happy with the result.“
More Frequently Asked Questions about Teeth Whitening
What Causes Teeth to Discolour?
There are many causes of tooth discolouration. Highly coloured foods and drinks are a common cause, such as red wine, berries, tea, coffee, and turmeric. Smoking, age, certain medications, and trauma may also be causes.
Internal Teeth Whitening : What is it?
A front tooth that has been root-filled may discolor over time. Internal teeth whitening involves removing the filling on the inside of the tooth. The whitening agent is placed inside the tooth. The process may take 1 or 2 visits to the dentist. It is an effective, affordable way to lighten a ‘ dead ‘ tooth because it avoids more expensive treatments such as crowns or veneers.
Peroxide Teeth Whitening, What is it?
The whitening gel used for most professional teeth whitening contains a medical-grade peroxide.
Is Professional Teeth Whitening Painful?
It is unlikely that it will be painful. Some patients may experience tooth sensitivity or gum discomfort during the whitening process. Not everyone experiences these side effects and most people may experience only slight ones.
How Long Does Sensitivity Last After Teeth Whitening?
Sensitivity may occur in the first 1 to 2 days of starting the process. Usually, any sensitivity settles within a few days.
Why Consider Teeth Whitening?
We greet the world with a smile. A healthy, whiter smile can help boost self-confidence when we meet and talk to people. Teeth whitening can also help reduce visible white or brown spots within teeth. It also avoids the discomfort and cost of more complicated cosmetic procedures, such as composites or veneers. Often these procedures involve drilling teeth.
How Much Does Teeth Whitening Cost?
Starting from £249. The usual price is £299, which includes teeth whitening for the top and bottom teeth.
Our teeth whitening dentist has years of professional experience. She’s a long-standing member of the Royal College of Surgeons of England, and the British Dental Association,
Our modern dental clinic is conveniently located for residents, workers and students in the West London and Middlesex areas of Ealing, Greenford, Perivale, Hanwell, Northolt, Acton, Harrow, Wembley, Southall, Ruislip, Chiswick, Hounslow, Hillingdon, and beyond. So whether you’d like a whiter smile to improve social or career opportunities, or you have a wedding, birthday, anniversary, or other special occasion coming up, let us help you. Experience modern dentistry in a calm, friendly atmosphere.