Dental Hygiene Services near you

posted in: Blogs | 0

Dental Hygiene & Teeth Cleaning in Greenford  Professional teeth cleaning … At Dentael, we provide professional teeth cleaning with our experienced female dentist. Also, our friendly dental assistant, assists for your comfort during your dental hygiene. Therefore, enabling us to … Continued

How Professional Teeth Whitening Works

posted in: Blogs | 0

Professional Teeth Whitening: How it works and what to expect Professional Teeth Whitening for a whiter smile A whiter smile gives that extra confidence and boosts self-esteem. Professional Teeth Whitening is an effective and safe way of lightening the natural … Continued

Tooth Replacement Options

posted in: Blogs | 0

Adhesive Bridge Front Tooth Replace missing tooth with a dental adhesive bridge … Missing a tooth, especially a front tooth, can affect appearance. It can also affect our ability to talk and eat properly. There are a number of tooth replacement … Continued

Diabetes affects on Oral Health

posted in: Blogs | 0

Diabetes and the Mouth Diabetes affects on oral health: A Guide If you have diabetes it can affect many parts of your body, including your mouth. Diabetes affects oral health due to high blood sugar levels. If your blood sugar … Continued

How to Replace a Missing Tooth Safely?

posted in: Blogs | 0

Missing Tooth Replacement Options: How to Replace a Missing Tooth Safely Losing a tooth can affect far more than appearance alone. A missing tooth may make chewing uncomfortable, affect speech and place extra pressure on surrounding teeth over time. In … Continued

What Is Dental Composite Bonding?

posted in: Blogs | 0

Dental Composite Bonding Creating natural looking smiles … Dental Composite Bonding, white tooth coloured restorations are a great way to improve smiles whilst avoiding drilling and cutting teeth. A modern technique used in cosmetic dentistry to enhance a natural smile. … Continued

Dental Bonding in Ealing Explained

posted in: Blogs | 0

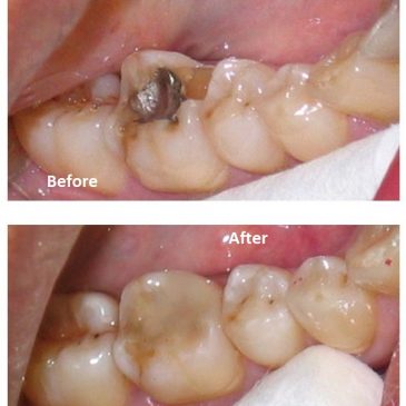
Dental Bonding nearby Dental Bonding to repair that broken tooth Have you broken or chipped a tooth, noticed a hole, or feel that your teeth are worn? As an amalgam-free dental clinic, we restore teeth and improve smiles using modern … Continued

Dentist near me

posted in: Blogs | 0

Search results for find a dentist near me Looking to find a dentist near me? At Dentael, we’re dedicated to providing excellent dental care in a calm, relaxed environment. We welcome new patients looking to find a dentist near me. … Continued

How to Close a Gap Between Teeth

posted in: Blogs | 0

Composite bonding to close gaps without braces Close a gap between teeth … Do you have gaps between your front teeth and wish they were gone?  Would you like to improve your smile but either don’t want or can’t afford … Continued

Child Friendly Dentist, Ealing West London

posted in: Blogs | 0

What Makes a Child-Friendly Dentist? Caring for baby teeth … At Dentael,  we offer new patient appointments for parents wanting to book their child at a child friendly dental practice. We are dedicated to providing excellent dental care, for all … Continued

Bad Breath Treatment

posted in: Blogs | 0

How to prevent Bad Breath Ways to avoid Bad Breath Bad breath, also known as Halitosis, is a common problem, with many people being affected. Sometimes a person may not even be aware they have bad breath until they’re told, … Continued