Adhesive Bridge Front Tooth
Replace missing tooth with a dental adhesive bridge …
Missing a tooth, especially a front tooth, can affect appearance. It can also affect our ability to talk and eat properly. There are a number of tooth replacement options to replace a missing tooth. Often a single front missing tooth may be replaced with a denture, adhesive bridge or dental implant.
These options are discussed during a consultation with our experienced, friendly dentist. Each option has it’s advantages and disadvantages, and we help patients understand them. Many patients prefer to avoid the denture option because they want a tooth fixed into the mouth instead of removing a denture. Many patients also want to avoid the surgery, time and costs involved with a fixed dental implant. For these patients, an adhesive bridge may be an excellent solution for fixing a single false tooth to replace a missing front tooth.
What is an Adhesive Bridge?
An adhesive bridge is a false tooth that is fixed to the neighbouring natural tooth, to fill the gap of the missing tooth. The false tooth is usually made of porcelain bonded to metal. There is a metal wing that is bonded to the inside of the natural tooth. Adhesive bridges are also known as resin-bonded bridges or Maryland bridges. They are conservative and a minimally invasive treatment option to replace a missing tooth.
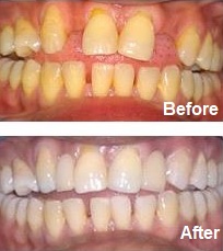
Before and After Photos of Adhesive Bridge


Dental Cantilever Bridges
What is the procedure for placing an Adhesive Bridge?
It is first assessed and confirmed with a consultation and x-rays, that an adhesive bridge is suitable. Following this, the treatment usually takes 2 visits, about 2 weeks apart.
Firstly a mould impression is taken of the teeth. This is sent to the dental laboratory, where the custom adhesive bridge is made. A dental shade is also taken so the adhesive bridge can match the colour of the natural teeth as close as possible.
In the second visit, the bridge is fitted by bonding it in place.
How long does an Adhesive Bridge last?
They can last a few years depending on how well they are looked after. The better they are looked after, the longer they will last. Sometimes they last over well over 5 years.
What are the advantages of an Adhesive Bridge vs Dental Implant?
A dental implant requires invasive surgery. It also is time consuming and can take months to up to a year to complete treatment. Dental implants are known to be expensive, with average prices ranging between £2000 and £2500. Hence a dental implant is far more costly than an adhesive bridge.
An adhesive bridge does not involve invasive surgery. It is conservative and also does not involve extensive drilling of the tooth like conventional bridges. Treatment is completed within a matter of weeks at a lot lower price. Therefore they are a much more affordable, simpler and quicker option to replace a missing tooth than a dental implant.
How much does an Adhesive Bridge cost?
For majority of patients the price for an adhesive bridge is between £650 to £750.
More frequently asked questions about tooth replacement …
When to replace missing tooth?
If a tooth is extracted, it is best to wait until the extraction site has healed before replacing a missing tooth. However a front tooth needing a quick tooth replacement may be possible, so the missing tooth gap is not visible when smiling. An immediate bridge or denture may be a solution.
What are tooth replacement options for missing teeth?
Missing teeth can be replaced with a bridge, denture, or implant. What is the best option, will depend on each individual person and and a number of factors, including which teeth are missing.
What if I need a temporary tooth replacement?
A temporary dental bridge or denture may be an option.
“ Great customer service and professional. I would recommend it because the dentist goes the extra mile and gives options and advice in relation to your concern. ”
If you prefer to avoid the time and cost of a dental implant but would like to replace a missing tooth, visit us to see how we can help. An adhesive bridge may be the solution.
Dentael is your local modern dental clinic. Our dentist has 30 years experience. Also a long standing member of the British Dental Association and Royal College of Surgeons of England . Conveniently located just off the A40, in Ealing Greenford Perivale. Street free parking and excellent transport links. So we’re ideal for patients who live, work or study in and around Ealing Perivale Greenford. As well as the surrounding areas of Hanwell, Southall, Northolt, Wembley, Harrow, Hayes, Hounslow, Hillingdon and beyond. Therefore if you have a missing front tooth or whatever your dental needs we’re here to help. Book your appointment with our friendly dentist so we may help you achieve that healthy, confident smile.





